Diphtheria Kills 520 Children In Kano
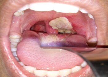
The Director - General of Kano State Primary Healthcare Management Board, Dr Muhammad Mahmud says about 520 children are ...
The Director - General of Kano State Primary Healthcare Management Board, Dr Muhammad Mahmud says about 520 children are ...