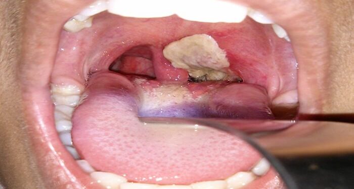
The Director – General of Kano State Primary Healthcare Management Board, Dr Muhammad Mahmud says about 520 children are suspected to have lost their lives following the diphtheria outbreak in the state this year.
Mahmud disclosed this while speaking to newsmen at a one-day media orientation on the diphtheria outbreak, supported by the United Nations Children’s Fund held in Kano on Tuesday.
“There is data we generated through our digital surveillance and reporting system.
“This year, Kano reported about 8,700 suspected cases of diphtheria and 6,300 confirmed, with about 520 children suspected to have died of this illness.
“We tracked this on a daily and weekly, we believe the cases are much more than what we are getting, as we witness the increase of the cases from July,” he said.
The DG added that the cases were reported from 39 local governments out of the 44 local governments in the state, while the cases worsened within the eight metropolitan local governments.
He said UNICEF had this week delivered 1.2 million vaccines to the Kano State government in its continuing support to the government for response to the diphtheria outbreaks.
In his remarks, the Chief of UNICEF Field Office, Kano, Mr Rahama Farah, said the majority of suspected victims of diphtheria are children who did not receive a single dose of vaccination against the children’s killer diseases including diphtheria.
“So far, the highest number of cases of diphtheria are reported from Kano State.
“For example, out of the 44 LGAs of Kano State, the Diphtheria disease has spread to 39 LGAs.
“Since January 2023, Kano State reported over 5,800 cumulative cases of diphtheria in the state.
“Although, there was a decline in the reported case in June, as of July, these Diphtheria cases have been on the rise.
“As of last week, over 400 suspected cases with 11 deaths have been reported in Kano State,” he said.
According to him, eight LGAs are the most affected: They are Ungogo (2651), Dala (989), Fagge (943), Gwale (714), Kumbotso (713), Nassarawa (538), Kano Municipal (506) and Tarauni (269). (VON/vitalnewsngr.com)

















